Netzhaut-Analyse
Warum eine Netzhaut- Analyse?
Sie haben nur 2 Augen. Diese sind einzigartig und besonders wertvoll, denn 90% aller Sinneseindrücke nehmen Sie über das Sehen wahr.
Ausgehend vom gesunden Auge können mit einer Netzhautanalyse Risiken für:
- Glaukom
- AMD (altersbedingte Makuladegeneration)
- Diabetes
- Gefäßauffälligkeiten oder- veränderungen
festegestellt werden.
Wie verläuft eine Netzhaut-Analyse?
Mit der Netzhaut-Kamera "EasyScan" werden innerhalb weniger Minuten hochauflösende Fotos der Netzhaut gemacht.
Die detaillierten Aufnahmen der Netzhaut senden wir zusammen mit einigen Informationen zu Ihrem Gesundheitsstatus an den telemedizinischen Dienst.
Dort analysieren zertifizierte Ärzte die Aufnahmen und können bereits sehr früh Hinweise auf mögliche Veränderungen erkennen.
Diabetes
Auf der Netzhaut sind Blutungen und Gefäßveränderungen zu sehen, die meist bei einer Zuckererkrankung beobachtet werden.


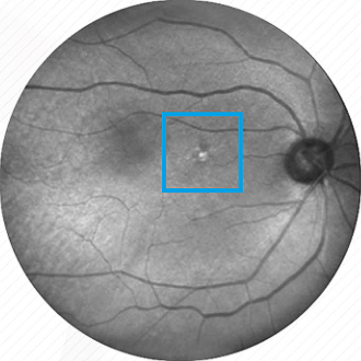
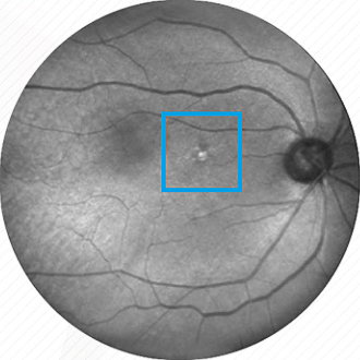
Altersbedingte Makuladegeneration (AMD)
Ablagerungen in der Netzhaut führen zu einem zunehmenden Verlust der Sehkraft vor allem im zentralen Sichtfeld. Nur eine frühe Therapie kann die AMD bremsen.
IHRE AUGEN SIND WERTVOLL.
Geben Sie Ihnen die Fürsorge, die sie benötigen,
in 4 einfachen Schritten:
Serviceliste
-
Schritt 1Listenelement 1
Termin vereinbaren
-
Schritt 2Listenelement 2
Netzhaut- Screening
mit Easyscan in wenigen Minuten
-
Schritt 3Listenelement 3
Augenärzte- Netwerk
erhalten von uns Ihre Daten und senden uns eine umfassende Auswertung innerhalb einer Woche zu
-
Schritt 4Listenelement 4
Sicherheit erleben

Nehmen Sie sich 5 Minuten Zeit für ihre Augen!

